
Before & Afters
Before & Afters
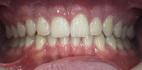
Smile Transformations
Real Patients, Real Results
At Lynn M. Farrey, D.D.S., we take pride in helping our patients achieve smiles they're proud to share. Check out our gallery of smile transformations to see how Dr. Farrey's artistic approach and advanced techniques have helped patients enhance their dental health and confidence!



















.webp)


We're Welcoming New Patients
Schedule Your Visit to Our New Office
At Lynn M. Farrey, D.D.S., the safety of our patients and staff is our top priority. Our office follows the Federal Government’s closing status during inclement weather:
- If the Federal Government closes, our office will also be closed.
- If the Federal Government announces a delayed opening, we will remain open during our regular business hours.
We encourage you to check our Facebook and Instagram pages during severe weather for updates. Please contact our office with any questions. Stay safe, and we appreciate your understanding!
